Wat is de vruchtzak?
De vruchtzak, ook wel amnion genoemd, is een belangrijk onderdeel van een zwangerschap. Hij bestaat uit twee vliezen; het binnenste vlies is het amnion en het buitenste vlies het chorion. Samen vormen ze als het ware een beschermende bubbel die zich vormt rond je kindje.
Om het simpel te zeggen, stel je voor dat je een waterballon hebt. Deze ballon is gevuld met een heldere vloeistof, het vruchtwater, en daarin drijft je kindje. Dat is in feite wat de vruchtzak is – een soort waterballon die je kindje beschermt en ondersteunt terwijl hij of zij groeit.
De vruchtzak heeft een dubbele functie. Ten eerste beschermt het je kindje tegen stoten en schokken door een kussen van vruchtwater te bieden. Ten tweede voorziet het je kindje van de nodige vloeistoffen om te kunnen bewegen en zich te ontwikkelen.
De vorming van de vruchtzak
De vorming van de vruchtzak, of het amnion, vindt plaats aan het begin van de zwangerschap. Het begint allemaal in de eileider, waar een zygote zich ontwikkelt tot een klompje cellen. De zygote ondergaat klievingsdelingen, wat delingen zonder groei betekent, en vormt zo een klompje cellen dat even groot is als de zygote zelf. In dit klompje cellen bevindt zich de embryoblast, ook wel embryonaalknop genoemd.
De buitenste laag van dit klompje cellen wordt de trofoblast genoemd en heeft twee belangrijke functies: het beschermt de embryoblast en zorgt voor de innesteling in de wand van de baarmoeder. Dit gebeurt meestal 5 tot 7 dagen na de ovulatie.
In de baarmoeder begint het klompje cellen samen te werken met het baarmoederslijmvlies om holten te vormen. In deze holten stroomt het bloed van de moeder, wat essentieel is voor de ontwikkeling van het embryo. De trofoblast vormt het buitenste vruchtvlies, het chorion, dat via uitstulpingen (vlokken) zuurstof en voedingsstoffen opneemt.
Tegelijkertijd ontstaan uit de embryoblast het embryo, de hechtsteel en het binnenste vruchtvlies, het amnion. De hechtsteel ontwikkelt zich tot navelstreng, terwijl het vruchtwater produceert om het embryo te beschermen tegen schokken en uitdroging. Uiteindelijk komt het amnion tegen het chorion te liggen, waardoor de vruchtzak wordt gevormd.
Het belang van de vruchtzak voor de gezonde ontwikkeling van je kindje
De vruchtzak, of het amnion, speelt een belangrijke rol in de gezonde ontwikkeling van je kindje tijdens de zwangerschap. Ten eerste biedt de vruchtzak bescherming. Gevuld met vruchtwater, vormt het een schokdemper voor je kindje, beschermt het tegen stoten en schokken en helpt het de temperatuur in de baarmoeder te reguleren.
Maar de vruchtzak doet meer dan alleen beschermen. Het vruchtwater binnen in de vruchtzak zorgt er ook voor dat je kindje kan bewegen en spieren kan ontwikkelen. Deze bewegingen zijn niet alleen belangrijk voor de fysieke ontwikkeling van je kindje (denk aan het sterker worden van de ledematen), maar ook voor de neurologische ontwikkeling. Door te bewegen, leert je kindje zijn of haar lichaam kennen en bouwt hij of zij belangrijke verbindingen op in de hersenen. Bovendien slikt je kindje in de latere stadia van de zwangerschap vruchtwater in en plast het weer uit, wat de nieren helpt ontwikkelen en functioneren.
Een lege vruchtzak; wat houdt dit in?
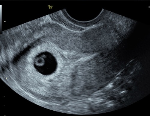
Een lege vruchtzak, ook wel bekend als een ‘blighted ovum’’, kan ontstaan aan het begin van de zwangerschap. Na de bevruchting, begint de bevruchte eicel zich te delen en vormt een groep cellen die uiteindelijk je kindje zal worden. Tegelijkertijd ontwikkelt zich een structuur genaamd de vruchtzak. Soms gaat echter iets mis in dit proces en ontwikkelt je kindje zich niet, terwijl de vruchtzak en de placenta dat wel doen. De vruchtzak blijft dan leeg wat op een echo te zien is.
Een lege vruchtzak kan worden gediagnosticeerd tijdens een vroege zwangerschapsecho, meestal rond de 7-10 weken. Op de echo ziet de arts dan een vruchtzak en mogelijk ook een placenta, maar er is geen teken van een embryo.
Het ontstaat vaak door chromosomale problemen in de bevruchte eicel. Een lege vruchtzak betekent niet dat je in de toekomst geen gezond kindje kunt krijgen. Veel vrouwen die een blighted ovum hebben gehad, hebben vervolgens succesvolle zwangerschappen.
De vruchtzak en het breken van de vliezen
Wanneer je vliezen breken, ontstaat er een scheurtje of barstje in het amnion en chorion, de twee membranen die de vruchtzak vormen. Dit kan gebeuren tijdens de bevalling door de samentrekking van de baarmoeder, of je verloskundige of gynaecoloog kan je vliezen kunstmatig breken om de bevalling te versnellen.
Hoewel we niet altijd precies weten waarom de vliezen spontaan breken, wordt het vaak in verband gebracht met de druk van het hoofdje van je kindje tegen de vliezen, de kracht van de weeën of veranderingen in de spanning van de vliezen zelf. Zodra de vliezen zijn gebroken, lekt er vruchtwater uit de vagina, wat meestal betekent dat de bevalling begonnen is of op het punt staat te beginnen.

Baby geboren in vruchtzak
Je kindje kan ook geboren worden in de vruchtzak; dit staat bekend als een ‘en caul’ geboorte. Een ‘en caul’ geboorte is vrij zeldzaam en komt naar schatting voor bij ongeveer 1 op de 80.000 geboorten. Het gebeurt wanneer je kindje wordt geboren zonder dat de vruchtzak – de beschermende ‘bubbel’ gevuld met vruchtwater – breekt. In plaats daarvan komt je kindje nog steeds in de vruchtzak uit de baarmoeder.
Vruchtzak bij een tweeling
Tweelingen kunnen monozygoot (eeneiige) of dizygotisch (twee-eiige) zijn. Eeneiige tweelingen ontstaan wanneer één bevruchte eicel zich splitst en twee baby’s vormt. Deze tweelingen delen hetzelfde genetische materiaal en zijn altijd van hetzelfde geslacht. Twee-eiige tweelingen ontstaan wanneer er twee afzonderlijke eicellen worden bevrucht door twee verschillende zaadcellen. Ze delen ongeveer 50% van hun genetisch materiaal, net als elke andere broer of zus, en kunnen van hetzelfde of van verschillend geslacht zijn.
Nu, als we het over de vruchtzak hebben, hangt het af van het type tweeling en het tijdstip van de splitsing (in het geval van monozygote tweelingen). Twee-eiige tweelingen hebben altijd elk hun eigen vruchtzak en placenta. Het tussenschot tussen het vruchtwater bestaat in dit geval uit vier vliezen. Dit wordt een dichoriale-diamniotische tweeling zwangerschap genoemd.
Voor monozygote tweelingen is het iets gecompliceerder. Als de splitsing binnen de eerste paar dagen na de bevruchting plaatsvindt, zullen ze, net als dizygotische tweelingen, elk hun eigen vruchtzak en placenta hebben (dichoriale-diamniotische tweeling). Als de splitsing echter iets later plaatsvindt, tussen de 4e en 8e dag, delen ze een placenta maar hebben elk hun eigen vruchtzak (monochoriale-diamniotische tweeling). Als de splitsing nog later plaatsvindt, na de 8e dag, zullen ze zowel de placenta als de vruchtzak delen (monochoriale-monoamniotische tweeling).